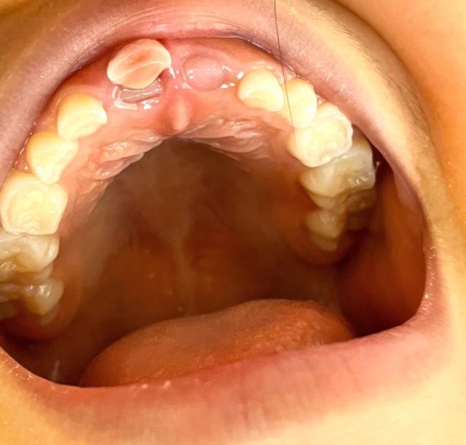
【2枚歯】乳歯の裏に永久歯が生えてきた!長女歯列矯正記録vol.1 長女(ぷっぷく)/ 二枚歯 正面から見るとこんな感じ。 グラグラの乳歯(うすピンクがかっている) 永久歯が生えてきたことで、根が溶けて抜けるだけなのに抜けない。 根が溶けて歯茎が歯の中に少し入り込んでいるので、歯がピンク色に見えるらしい。 そして、歯の裏はこう。 見えますか? 上の乳歯のすぐ裏に永久歯が顔を出しています。 このままではよくないので抜いてもらうことにしました。 長女歯列矯正記録、次回は二枚歯の抜歯! ドキドキ…初の抜歯… Pages: 1 2